Trong nhịp sống hiện đại, vấn đề an toàn vệ sinh thực phẩm ngày càng được quan tâm. Tuy nhiên, ít ai ngờ rằng, ngay trong những món ăn tưởng chừng quen thuộc hàng ngày lại tiềm ẩn nguy cơ nhiễm ký sinh trùng, gây ra những hệ lụy sức khỏe không nhỏ.
1. Rau sống và mầm đậu
Rau sống, với sự tươi mát và hàm lượng vitamin cao, là một phần không thể thiếu trong nhiều bữa ăn. Tuy nhiên, quy trình trồng trọt, thu hoạch và vận chuyển rau, đặc biệt là các loại rau ăn lá và mầm đậu, có thể tạo điều kiện cho trứng giun, ấu trùng và các vi sinh vật gây bệnh bám vào.
Để đảm bảo an toàn, người tiêu dùng nên chọn lựa rau tại các cửa hàng, siêu thị uy tín, có nguồn gốc rõ ràng, ưu tiên rau hữu cơ hoặc rau được trồng theo tiêu chuẩn VietGAP. Việc sơ chế đúng cách cũng vô cùng quan trọng, cần rửa rau dưới vòi nước chảy mạnh nhiều lần, ngâm trong nước muối loãng hoặc dung dịch rửa rau chuyên dụng trong khoảng 10-15 phút.
Tốt nhất nên nấu chín rau trước khi ăn, và đối với các món rau sống, cần đảm bảo rau đã được rửa sạch kỹ lưỡng, đồng thời hạn chế ăn rau sống tại các hàng quán vỉa hè không đảm bảo vệ sinh.
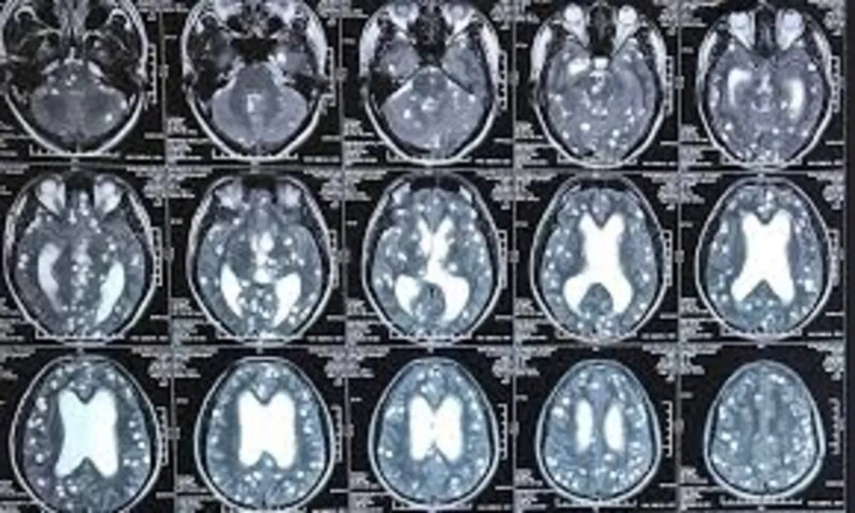
2. Thịt lợn và nguy cơ tiềm ẩn bệnh sán dây lợn
Thịt lợn là nguồn protein quan trọng trong khẩu phần ăn của nhiều người. Tuy nhiên, nếu quy trình chăn nuôi và chế biến không đảm bảo, thịt lợn có thể chứa ấu trùng sán dây lợn (cysticercus). Khi ăn phải thịt lợn chưa nấu chín kỹ, ấu trùng này sẽ phát triển thành sán trưởng thành trong ruột người, gây ra bệnh sán dây.
Nguy hiểm hơn, ấu trùng sán có thể di chuyển đến các cơ quan khác trong cơ thể, đặc biệt là não, gây ra bệnh ấu trùng sán não (neurocysticercosis) với các triệu chứng thần kinh nghiêm trọng như động kinh, đau đầu dữ dội, thậm chí tử vong.
Để phòng tránh nguy cơ này, cần chọn mua thịt lợn tại các cơ sở uy tín, có kiểm dịch thú y đầy đủ, tránh mua thịt không rõ nguồn gốc hoặc có dấu hiệu bất thường. Nấu chín kỹ thịt lợn ở nhiệt độ trên 70°C, tuyệt đối không ăn thịt lợn tái, các món ăn chế biến từ thịt lợn chưa chín kỹ, đồng thời duy trì vệ sinh cá nhân, rửa tay sạch sẽ trước khi ăn và sau khi tiếp xúc với thịt lợn sống.
3. Cá nước ngọt
Các món gỏi cá, lẩu cá hoặc các món cá nướng chưa chín tới từ cá nước ngọt như cá mè, cá diếc, cá trắm... có thể tiềm ẩn nguy cơ nhiễm sán lá gan nhỏ. Ấu trùng sán này sống ký sinh trong cơ cá, khi người ăn phải cá chưa nấu chín, chúng sẽ di chuyển lên đường mật, gây ra các triệu chứng như đau bụng, vàng da, khó tiêu, và về lâu dài có thể dẫn đến các biến chứng nghiêm trọng .
Biện pháp an toàn hàng đầu là hạn chế tối đa việc ăn cá sống và luôn nấu chín kỹ các loại cá nước ngọt trước khi ăn. Nếu vẫn muốn chế biến các món gỏi cá, cần sử dụng cá tươi sống, đã được xử lý kỹ lưỡng, đảm bảo nấu chín hoàn toàn để tiêu diệt triệt để ấu trùng sán.
4. Thủy hải sản sống
Các món sushi, sashimi, gỏi cá biển... ngày càng trở nên phổ biến. Tuy nhiên, việc tiêu thụ thủy hải sản sống hoặc chưa nấu chín có thể dẫn đến nguy cơ nhiễm Anisakis, một loại giun tròn ký sinh ở nhiều loài cá biển như cá thu, cá trích, cá hồi...
Khi người ăn phải ấu trùng Anisakis, chúng có thể bám vào thành ruột, gây ra các triệu chứng đau bụng dữ dội, buồn nôn, nôn mửa, thậm chí gây tắc ruột hoặc phản ứng dị ứng nghiêm trọng.
Để giảm thiểu nguy cơ, người tiêu dùng nên chọn mua thủy hải sản tại các cửa hàng, nhà hàng có uy tín, đảm bảo nguồn gốc rõ ràng và quy trình bảo quản an toàn. Nếu muốn thưởng thức các món sống, cần đảm bảo cá đã được cấp đông sâu ở nhiệt độ -20°C trong ít nhất 7 ngày để tiêu diệt ấu trùng Anisakis. Biện pháp an toàn nhất vẫn là nấu chín hoàn toàn thủy hải sản trước khi ăn.
5. Ốc và các loại nhuyễn thể
Các món ốc luộc, nướng, gỏi ốc... là món ăn khoái khẩu của nhiều người. Tuy nhiên, ốc và các loại nhuyễn thể như hến, ngao, sò thường sống ở môi trường bùn lầy, nước ngọt hoặc nước lợ, dễ bị nhiễm các loại ấu trùng giun, sán và vi khuẩn gây bệnh. Việc chế biến không kỹ có thể dẫn đến nguy cơ nhiễm các bệnh như sán lá phổi, sán ruột và các bệnh đường tiêu hóa khác.
Để đảm bảo an toàn khi tiêu thụ ốc và các loại nhuyễn thể, cần ngâm và rửa kỹ chúng trong nước sạch có pha chút muối hoặc nước vo gạo trong vài giờ để nhả hết bùn đất và chất thải, đồng thời chà rửa kỹ bên ngoài vỏ. Điều quan trọng là phải luộc hoặc hấp chín kỹ cho đến khi mở miệng, tuyệt đối không ăn tái hoặc chưa chín.

























