Mộtb ệnh nhân giấu tên đã phàn nàn về những cơn đau đầu dữ dội kéo dài hàng tuần trong khoảng thời gian 4 tháng kể từ khi tiêu thụ thịt xông khói chưa nấu chín.
Các chuyên gia cho biết, “sở thích ăn thịt xông khói mềm suốt đời” không phải là nguyên nhân duy nhất gây ra căn bệnh kỳ lạ - mà đúng hơn là món ăn sáng với thịt xông khói nấu chưa chín khiến người đàn ông đặc biệt dễ bị tổn thương này nhiễm sán.
Các nhà nghiên cứu cho biết: “Về mặt lịch sử, việc gặp phải thịt heo bị nhiễm bệnh ở Hoa Kỳ là điều rất bất thường và trường hợp như bệnh nhân này có thể gây ảnh hưởng đến sức khỏe cộng đồng”.
Theo CDC, nếu những người nhiễm sán không rửa tay kỹ sau khi đi đại tiện, họ có thể lây trứng sán sang các thành viên khác trong gia đình - đặc biệt là qua thực phẩm.
CDC cho biết, căn bệnh bất thường này “có thể phòng ngừa được” nhưng vẫn khiến khoảng 1.000 người Mỹ không may mắn phải nhập viện hàng năm.
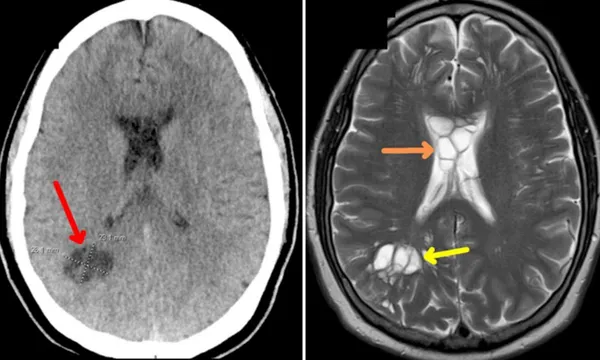
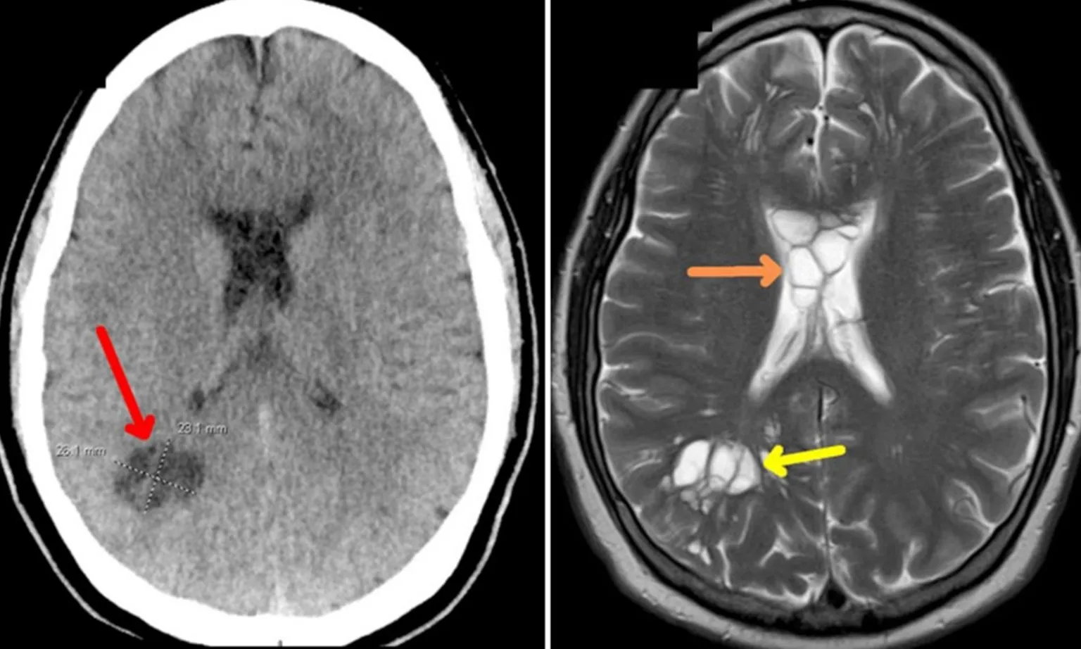
Trong trường hợp này, cùng với tình trạng sưng tấy, bệnh nhân còn phát triển các u nang ở cả hai bên não. Điều này sau đó được xác định là do sán dây đã đẻ trứng trong não người đàn ông.
Bệnh nhân đã được điều trị bằng thuốc tẩy giun albendazole, kết quả đã cải thiện sau hai tuần.



